만성 폐쇄성 폐질환의 증상은 점차 심화되며 생존율과 밀접하게 관련됩니다. 말기의 상태는 호흡 곤란과 체력 저하가 두드러지며, 조기 진단과 꾸준한 치료가 예후에 큰 영향을 미칩니다.

만성 폐쇄성 폐질환 증상과 생존율은 상관관계가 높습니다
호흡기 증상이 점차 심화되는 이유
만성 폐쇄성 폐질환 증상은 초기에는 단순한 기침이나 가래, 숨참 등으로 시작되지만 시간이 지날수록 일상생활조차 어려울 정도로 호흡 곤란이 심해집니다. 증상이 악화될수록 폐 기능이 지속적으로 감소하면서 생존율 또한 함께 낮아지게 됩니다.
생존율은 질환의 진행 정도에 따라 다르며, 조기 진단과 꾸준한 관리로 충분히 연장될 수 있습니다. 특히 흡연자는 발병률이 높고, 흡연 지속 시 생존 가능성은 더욱 낮아질 수 있습니다.
중증 단계에서 생존율의 변화
질병이 진행되어 폐기종이나 만성 기관지염으로 악화되면 산소 치료가 필요할 정도로 폐활량이 줄어듭니다. 말기 환자의 경우 5년 생존율은 일반적으로 낮지만, 적극적인 호흡 재활과 치료 관리를 통해 삶의 질을 유지할 수 있는 가능성도 존재합니다.
만성 폐쇄성 폐질환이 심장 합병증까지? 내용을 아래 버튼에서 볼 수 있습니다
만성 폐쇄성 폐질환 말기에는 증세 관리가 중심입니다
말기의 특징적인 증상
만성 폐쇄성 폐질환 말기에는 극심한 숨참, 산소포화도 저하, 식욕 감소, 체중 저하 등의 전신적인 증상이 나타납니다. 말기에는 단순한 호흡기 문제가 아닌 전신 쇠약과 관련된 증상이 동반되어 관리가 복잡해집니다.
말기 환자는 일상적인 활동조차 어렵고, 야간 호흡 곤란이나 반복적인 감염으로 고통받기 쉬우며, 병원 방문 빈도도 증가합니다. 이 시기의 관리는 증상 완화와 감염 예방, 영양 관리 등이 주요 목표가 됩니다.
가족과 보호자의 역할이 중요한 이유
말기에는 환자 본인의 의지만으로는 치료 지속이 어렵기 때문에, 가족이나 간병인의 지지가 매우 중요합니다. 심리적 안정과 함께 규칙적인 약물 복용, 생활 환경의 청결, 감염 예방을 철저히 해야 합니다.
만성 폐쇄성 폐질환 치료는 단계별 접근이 필요합니다
약물 치료와 비약물 치료의 병행
만성 폐쇄성 폐질환 치료는 흡입제, 기관지 확장제, 스테로이드 등 다양한 약물 치료가 중심이 되며, 증상에 따라 병용 요법이 필요합니다. 약물 외에도 호흡 재활, 산소 치료, 운동 요법 등의 비약물적 접근이 중요합니다.
환자 상태에 맞는 치료 조합이 필요하며, 증상이 변할 때마다 의료진과의 정기적인 상담을 통해 치료 방침을 조정해야 합니다.
치료의 목표는 악화를 막고 삶의 질을 높이는 것
치료는 단순히 증상 억제뿐 아니라, 감염 예방과 악화 방지, 활동 능력 회복을 위한 전반적인 건강 관리가 포함됩니다. 특히 질환 악화로 인해 입원 빈도가 높아지면 생존율이 급격히 떨어질 수 있으므로, 사전 관리가 핵심입니다.
폐질환 증세는 비특이적이지만 진행형입니다
초기 증상을 간과하면 안 되는 이유
폐질환 증세는 단순한 기침, 가래, 피로감 등 일상적인 증상으로 나타나기 때문에 조기 발견이 어렵습니다. 하지만 숨이 차고, 반복적인 기관지염, 활동 중 호흡곤란이 잦아지면 정밀 진단이 필요합니다.
특히 흡연자, 고령자, 직업적으로 유해물질에 노출되는 사람은 더욱 주의해야 하며, 정기적인 폐기능 검사를 통해 폐 건강을 모니터링하는 것이 좋습니다.
증상의 경과를 예의주시해야 하는 이유
초기에 간과했던 증세가 수년 후 만성으로 발전할 수 있으며, 일상생활에 큰 불편을 줄 수 있습니다. 따라서 초기에 약한 증상이라도 반복된다면 즉시 병원에서 폐기능 검사를 받아보는 것이 중요합니다.
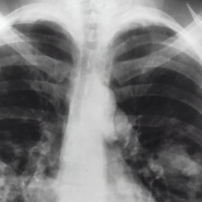
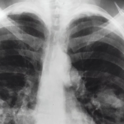
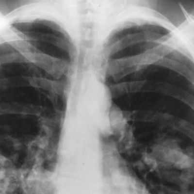
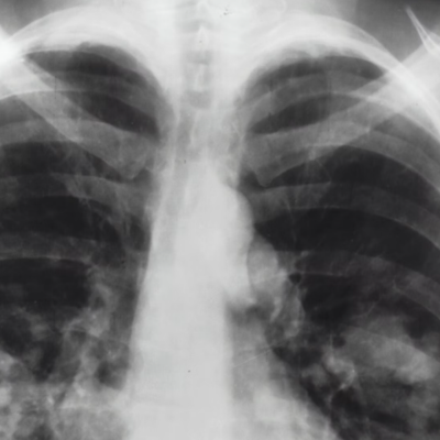
만성 폐쇄성 폐질환 진단법은 폐기능 검사로 시작합니다
가장 기본적인 진단은 폐활량 측정
만성 폐쇄성 폐질환 진단법으로 가장 널리 사용되는 것은 폐기능 검사(스파이로메트리)입니다. 폐활량과 공기의 흐름을 측정해 폐의 기능을 정량적으로 평가할 수 있습니다.
이 외에도 흉부 X선, CT 촬영, 산소포화도 검사 등이 보조적으로 사용되며, 환자의 증상과 병력, 흡연 여부 등을 종합적으로 고려해 진단이 이루어집니다.
조기 진단으로 치료 효과 극대화
조기에 발견하면 증상의 악화 속도를 늦출 수 있고, 다양한 치료 전략을 통해 질병의 진행을 통제할 수 있습니다. 진단이 늦어질수록 치료의 범위와 효과가 제한되므로 조기 진단은 매우 중요합니다.
만성 폐쇄성 폐질환 좋은 음식으로 폐를 돕는 영양 관리
폐 건강에 긍정적인 음식 선택법
만성 폐쇄성 폐질환 좋은 음식으로는 항산화 성분이 풍부한 채소와 과일, 오메가-3 지방산이 풍부한 생선류, 비타민 C·E·A가 포함된 식품이 좋습니다. 이들은 폐세포의 손상을 막고 면역력을 강화하는 데 도움을 줍니다.
또한 수분 섭취를 늘려 가래 배출을 원활하게 하고, 나트륨 섭취는 줄여 체내 염증 반응을 낮추는 것도 중요합니다.
피해야 할 음식도 고려해야
가공식품, 고지방 식품, 인스턴트 음식 등은 염증을 유발하거나 소화 부담을 높이므로 가급적 피해야 합니다. 폐 기능이 저하된 환자는 식사 시에도 호흡이 어려울 수 있으므로 소량씩 자주 섭취하는 것이 좋습니다.
함께 보면 도움되는 글